Skip to content Skip to sidebar Skip to footer

Widget HTML #1

Carotid Artery Dissection : Carotid Dissection Info Home Facebook : Carotid dissection is a breakdown of the layers of the carotid artery that causes the wall to tear.

Carotid Artery Dissection : Carotid Dissection Info Home Facebook : Carotid dissection is a breakdown of the layers of the carotid artery that causes the wall to tear.. Arterial dissection is a tear of the inside of the artery. These arteries supply blood to your brain. Spontaneous dissection of the carotid artery occurs in 3 per 100,000 of the population annually (1). It can be due to injury. Cervical artery dissection is a dissection of any of the arteries in the neck.

The inside of the artery is covered with a thin layer of cells called intima — it is like a skin. Blood in the separated layers of the vessel wall can lead to blood clot formation. Occur secondary to carotid artery dissections. Carotid artery dissection has been described after chiropractic manipulation. The extracranial portion of the internal carotid artery is much more frequently involved than the intracranial portion.

Carotid Artery Disease Stenosis Carotid Artery Dissection
Carotid Artery Disease Stenosis Carotid Artery Dissection from healthjade.com
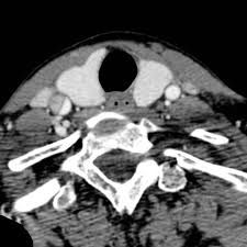
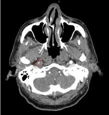
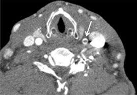
Blood in the separated layers of the vessel wall can lead to blood clot formation. A carotid dissection is a tear in the artery wall that allows blood to flow between the wall layers. It can manifest as headache (the most common early symptom (3)) with or. The tear may cause stenosis, an irregular narrowing of the opening in the vessel, and occlusion, a flap of the vessel wall protruding into the opening. Blood leaks out through this gap and spreads between the layers of the wall. Advertising on our site helps support our mission. Commonest in those in their mid 40s but seen at any age. Blood vessel walls normally have three layers, and a tear in any of these can allow blood to flow into the resulting space, causing the vessel to bulge.

Carotid dissection is about 3 times commoner than vertebral.

Scad most commonly affects women in their 40s and 50s. Dissection of the vertebral artery occurs in 1 per 100,000 of the population, however it makes up about 25% of all cerebral events in those less than 40 year of age (2). Approximately 2.5% of all strokes in the u.s. A carotid dissection is a tear in the artery wall that allows blood to flow between the wall layers. It is mainly characterised by local signs such as headache. A carotid dissection can be due to injury. These are a set of paired arteries at the sides of your neck. Carotid dissection is about 3 times commoner than vertebral. It can be due to injury. Spontaneous dissection of the carotid artery occurs in 3 per 100,000 of the population annually (1). Carotid artery dissection is a tear in one of the layers of the artery wall. Soldiers often engage in leisure, training, and combat activities that place them at risk for sustaining an injury that causes a carotid artery dissection. If a diagnosis of spontaneous internal carotid artery dissection is under consideration, laboratory studies are largely irrelevant for diagnostic purposes.

Abstract traumatic carotid artery dissections are uncommon and potentially devastating injuries that often have a delayed presentation. Carotid dissection is a breakdown of the layers of the carotid artery that causes the wall to tear. It can cause problems in several ways. In regards to risk of artery dissection with activity, we know that some activities are associated with artery dissection more than others. Carotid dissection is about 3 times commoner than vertebral.

Carotid Artery Dissection Wikipedia
Carotid Artery Dissection Wikipedia from upload.wikimedia.org
Carotid artery dissection is a tear in one of the layers of the artery wall. Spontaneous dissection of the carotid artery occurs in 3 per 100,000 of the population annually (1). The natural history of cerebrovascular fmd is unknown and management of symptomatic patients can be challenging. Blood vessel walls normally have three layers, and a tear in any of these can allow blood to flow into the resulting space, causing the vessel to bulge. Carotid artery dissection is a major cause of cerebral infarction in the young. Carotid artery dissection has been described after chiropractic manipulation. May occur spontaneously, or in the setting of major/minor neck trauma (mvc (classically a seat belt injury)) vs. Scad can slow or block blood flow to the heart, causing a heart attack, abnormalities in heart rhythm or sudden death.

A carotid dissection is a tear in the inner layer of the wall of a carotid artery.

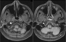
Carotid artery dissection (concept id: Each common carotid artery has an internal and an external branch. Carotid artery dissection is a tear in one of the layers of the artery wall. Spontaneous dissection of the carotid artery occurs in 3 per 100,000 of the population annually (1). It manifests with headache, neck pain, temporary vision loss, and/or ischemic stroke. This causes bleeding into the artery wall. Commonest in those in their mid 40s but seen at any age. Roller coasters are also a no no. Blood vessel walls normally have three layers, and a tear in any of these can allow blood to flow into the resulting space, causing the vessel to bulge. The first portion of each carotid artery is the called the common carotid artery. Carotid artery dissection is a major cause of cerebral infarction in the young. Mr signal of the mural hematoma has a similar temporal evolution than intracerebral counterpart. A carotid dissection can be due to injury.

The natural history of cerebrovascular fmd is unknown and management of symptomatic patients can be challenging. A carotid dissection is a tear in the inner layer of the wall of a carotid artery that allows bleeding into the artery wall. Internal carotid artery (ica) dissection, like arterial dissection elsewhere, is a result of blood entering the media through a tear in the intima 1 and is a common cause of stroke in younger patients. Carotid artery dissection has been described after chiropractic manipulation. It can involve a carotid or vertebral artery and sometimes multiple arteries can be involved.

A Rare Presentation Of Spontaneous Internal Carotid Artery Dissection With Horner S Syndrome Viith Xth And Xiith Nerve Palsies Abstract Europe Pmc
A Rare Presentation Of Spontaneous Internal Carotid Artery Dissection With Horner S Syndrome Viith Xth And Xiith Nerve Palsies Abstract Europe Pmc from europepmc.org
The natural history of cerebrovascular fmd is unknown and management of symptomatic patients can be challenging. Spontaneous coronary artery dissection — sometimes referred to as scad — is an uncommon emergency condition that occurs when a tear forms in a blood vessel in the heart. Scad most commonly affects women in their 40s and 50s. Arteries are like laminated tubes, their walls composed of many tissue layers, such as muscle, connective tissue, etc. Mr signal of the mural hematoma has a similar temporal evolution than intracerebral counterpart. Carotid dissection is a breakdown of the layers of the carotid artery that causes the wall to tear. In regards to risk of artery dissection with activity, we know that some activities are associated with artery dissection more than others. Avoiding martial arts and other forms of direct hard physical contact also make good sense.

A carotid artery dissection occurs when one of the arteries that delivers blood to the brain ruptures, often due to some sort of trauma, allowing blood to leak out into the wall of the artery.

Arterial dissection is a tear of the inside of the artery. The tear that initiates the dissection may occur spontaneously or after injury. Medical imaging tests can help rule out other conditions with similar symptoms. The first portion of each carotid artery is the called the common carotid artery. These arteries supply blood to your brain. May occur spontaneously, or in the setting of major/minor neck trauma (mvc (classically a seat belt injury)) vs. Similarly, dissections affect distal parts of the extracranial vertebral artery, whereas atherosclerosis tends to involve the proximal segments C0338585) spontaneous or traumatic separation of the layers of the carotid artery wall. Carotid dissection is a tear in the carotid artery wall. But it's still a dangerous situation. I will elaborate in a few sentences. Blood vessel walls normally have three layers, and a tear in any of these can allow blood to flow into the resulting space, causing the vessel to bulge. It manifests with headache, neck pain, temporary vision loss, and/or ischemic stroke.